Veterinaria (Montevideo), 2026 62, (225), https://doi.org/10.29155/VET.62.225.5
Reporte de caso
Fractura catastrófica bilateral de pelvis en una yegua pura sangre de carreras de dos años
Catastrophic, bilateral pelvic fracture in a two-year-old thoroughbred racehorse
Fratura pélvica bilateral catastrófica em um cavalo de corrida puro-sangue de dois anos de idade
Betina Morales1 https://doi.org/0009-0004-5530-1326
Fernando Dutra2 https://doi.org/0000-0003-4886-9429
Ana Meikle3 https://doi.org/0000-0002-0847-8629
Rita Rocca4 https://doi.org/0009-0001-8321-7875
Victoria Hernández4 https://doi.org/0009-0001-8202-7746
Ignacio Bonino4 https://doi.org/0009-0005-1886-7491
Jean-Marie Denoix5 https://doi.org/0000-0001-6173-4671
1Unidad de Equinos, Facultad de Veterinaria, Universidad de la República, Montevideo, Uruguay. Autor para correspondencia: betmorales81@gmail.com
2Dilave Miguel C. Rubino, Laboratorio Regional Este, Treinta y Tres, Uruguay.
3LEMA - Facultad de Veterinaria, Universidad de la República, Montevideo, Uruguay
4HRU S. A., Hipódromo Nacional de Maroñas, Montevideo, Uruguay.
5Cirale-EnvA NEV, Unité Inrae BPLC, Goustranville, France.
Cómo citar este artículo:
Morales, B., Dutra, F., Meikle, A., Rocca, R., Hernández, V., Bonino, I., & Denoix, J.-M. (2026). Fractura catastrófica bilateral de pelvis en una yegua pura sangre de carreras de dos años. Veterinaria (Montevideo), 62(225), e20266222505. https://doi.org/10.29155/VET.62.225.5
Resumen
Se describe una fractura bilateral catastrófica de pelvis en una yegua pura sangre de carreras de dos años de edad. El hecho ocurrió a los 300 metros de su largada. La yegua detuvo repentinamente su carrera y presentó una cojera del miembro posterior izquierdo aguda y sin apoyo. El examen ultrasonográfico mostró una fractura bilateral desplazada en el ala y el cuerpo del ilion, que se extendía hasta el sacro. Se identificó el contorno del ilion irregular y con una superficie engrosada, lo cual fue sugestivo de callo periosteal. La fractura bilateral y completa del ilion fue confirmada por necropsia y radiografía post mortem. La histopatología mostró cambios óseos compatibles con fracturas por estrés bilaterales; las fracturas completas se habían originado a partir de una lesión por microdaño preexistente.
Palabras clave: Caballo, Fractura de ilion, Articulación sacroilíaca, Fractura por estrés, Ultrasonografía.
Abstract
A catastrophic bilateral fracture of the pelvis in a two-year-old Thoroughbred racehorse is described. The event occurred 300 meters after starting the race. The filly suddenly stopped running and presented with non-weight bearing left hindlimb lameness. Ultrasonographic examination showed a bilateral displaced fracture on the wing and body of the ilium, which extended to the sacrum. An irregular contour and thickened surface of the ilium was suggestive of periosteal callus. Bilateral and complete fracture of the ilium was confirmed by necropsy and post mortem radiography. Histopathology showed bone changes compatible with bilateral stress fractures; the complete fractures having spread from a pre-existing microdamage injury.
Keywords: Horse, Ilium fracture, Sacroiliac joint, Stress fracture, Ultrasonography.
Resumo
Uma fratura pélvica bilateral catastrófica é descrita em uma égua de corrida puro-sangue de dois anos de idade. O incidente ocorreu 300 metros após o início de uma corrida. A égua parou repentinamente de correr e apresentou claudicação aguda no membro posterior esquerdo e não conseguiu suportar peso. O exame ultrassonográfico mostrou fratura bilateral desviada na asa e corpo do ílio, estendendo-se até o sacro. O contorno do ílio foi identificado como irregular e com superfície espessada, sugestivo de calo periosteal. A fratura bilateral e completa do ílio foi confirmada por necropsia e radiografia post mortem. A histopatologia mostrou alterações ósseas consistentes com fraturas por estresse bilaterais; as fraturas completas originaram-se de uma lesão de microdano pré-existente.
Palavras-chave: Cavalo, Fratura de ílio, Articulação sacroilíaca, Fratura por estresse, Ultrassonografia.
Fecha de recibido: 31/03/2025
Fecha de aceptado: 05/01/2026
Introducción
Los caballos pura sangre de carreras (PSC) son altamente susceptibles a lesiones óseas, estas son una de las causas más comunes de fatalidad por fracturas catastróficas tanto en Uruguay (Rocca & Dutra, 2018) como en los principales hipódromos a nivel mundial (Rosanowski et al., 2017).
La carga dinámica repetitiva sobre la estructura ósea es el principal factor de riesgo para el desarrollo de las fracturas catastróficas (Martin et al., 2015). La respuesta adaptativa del hueso frente a esta sobrecarga se evidencia patológicamente mediante la aparición de microfracturas y un intenso remodelado óseo focal (sitios de predilección). Este proceso de remodelado tiene lugar tanto en la superficie endóstica como en la perióstica, con la formación de callos óseos. Si la acumulación de microfracturas en estas regiones excede la capacidad de reparación ósea, la porosidad transitoria generada por la rápida resorción reduce la rigidez del hueso creando un estado mecánicamente inestable, lo que conduce a una fractura letal catastrófica (Martin et al., 2015).
Las fracturas catastróficas se relacionan con dos situaciones principales: la falta de adaptación ósea en caballos inmaduros y el sobreentrenamiento en animales más maduros (Stover, 2013). La escápula, el húmero y la tibia se ven afectados con frecuencia en PSC de dos y tres años (Rocca & Dutra, 2018; Samol et al., 2021; Stover, 2013; Stover et al., 1992), mientras que en caballos de mayor edad sometidos a entrenamiento de alta intensidad durante largos períodos y sin suficiente tiempo de recuperación se afectan principalmente huesos como los metacarpianos/metatarsianos (región del menudillo) (Anthenill et al., 2007; Rocca & Dutra, 2018) y la pelvis (Carrier et al., 1998; Haussler et al., 1998). En un estudio retrospectivo de siete años sobre prevalencia de fracturas catastróficas en Uruguay, se registró solo un caso en pelvis, que no fue descrito en detalle en el artículo original (Bimson et al., 2022).
Previo a la fractura total, suele formarse un callo óseo que puede detectarse precozmente mediante gammagrafía, radiografía y ecografía (Bianchi, 2020; O’Sullivan & Lumsden, 2000; Puccetti et al., 2022). Aunque existen trabajos sobre fracturas por estrés pélvicas con diagnóstico ecográfico in vivo (Pilsworth et al., 1994; Puccetti et al., 2022), no se han encontrado publicaciones que correlacionen la clínica y la ecografía con los hallazgos post mortem documentados mediante radiografía, disección macroscópica e histopatología de las lesiones.
El objetivo de este reporte es describir en detalle un caso de fractura pélvica bilateral y catastrófica en una yegua PSC, con diagnóstico clínico y ecográfico ante mortem de fractura por estrés, confirmado mediante necropsia por la presencia de callo óseo e histopatología por la presencia de microfisuras (fracturas por estrés).
Materiales y métodos
Historia clínica
Una yegua PSC de dos años dejó repentinamente de correr a 300 metros de la largada y fue evacuada de inmediato de la pista del Hipódromo Nacional de Maroñas (Montevideo, Uruguay). En el chequeo veterinario inicial no se encontró ningún traumatismo externo. La potranca presentaba una claudicación sin apoyo, grado 5/5 (Ross & Dyson, 2011), del miembro posterior izquierdo. Las competiciones previas de la yegua se registran en la tabla 1. La única anamnesis recabada mencionaba episodios ocasionales de hemorragia pulmonar inducida por el ejercicio. No se registraron episodios previos de claudicación durante los vareos.
Tabla 1: Cronología del ejercicio de alta velocidad de yegua con fractura de pelvis en metros/minutos. Cronología del ejercicio de velocidad en furlongs desde la primera carrera, hasta su retiro (datos de https://hipica.maronas.com.uy)

Aprobación ética
Se obtuvo el consentimiento del propietario para todos los procedimientos de diagnóstico y exámenes post mortem, así como para el uso del caso con fines de enseñanza e investigación.
Resultados
Examen clínico
Se realizó examen clínico estático y dinámico. En la inspección estática se observó un aumento de volumen en la región femoral izquierda con espasmo glúteo bilateral (figura 1). En la palpación glútea se detectó dolor intenso bilateral. La potranca soportaba peso sobre ambas extremidades posteriores. Durante la inspección dinámica, sobre piso firme, se observó en el miembro posterior izquierdo una claudicación grado 4/5 con reducción de la fase craneal del paso. Durante la fase de elevación se evidenciaba abducción del miembro y reducción en la flexión de tarso y babilla. Se observó claudicación tanto de apoyo como de elevación.

Ultrasonografía
Se llevó a cabo un examen de ultrasonido exhaustivo con un equipo portátil (Vetus7, Mindray). Se utilizó un transductor curvilíneo multifrecuencia de 3,0 a 5,0 MHz para el abordaje transcutáneo y un transductor lineal transrectal de 5,0 a 10,0 MHz para el examen transrectal (Bergman et al., 2013; Goodrich et al., 2006).
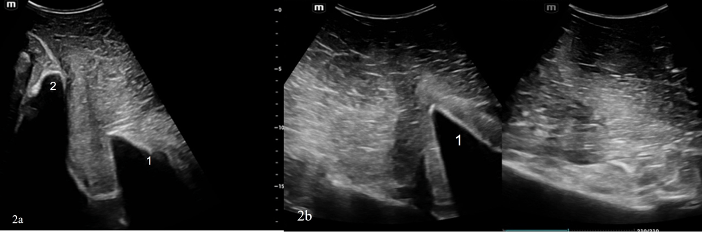
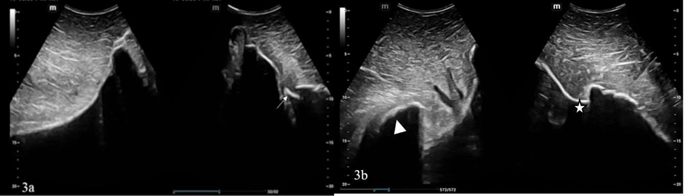
El examen ecográfico externo de la hemipelvis izquierda mostró una fractura aguda, completa y desplazada (aproximadamente 7 cm) en el margen caudal del ala ilíaca izquierda y de la cara craneal del cuerpo ilíaco (figuras 2). El examen de la hemipelvis derecha también evidenció una fractura desplazada del ala ilíaca derecha, ubicada más cerca del plano medio que la izquierda. El contorno del hueso ilíaco derecho se presentó más liso, irregular y grueso; estas características sugerían cambios de remodelación ósea crónica (figuras 3). El abordaje ultrasonográfico transrectal reveló un hematoma ventral y un fragmento óseo a la altura de la articulación sacroilíaca derecha (figuras 4).

Figuras 2: Ecografía hemi-pelvis izquierda. 2a: Corte transversal del ala ilíaca con fractura completa y desplazamiento ventral de la parte lateral (plano medio hacia la izquierda). 2b: Reconstrucción ecográfica longitudinal del ala ilíaca izquierda desplazada (craneal hacia la izquierda). 1: Ala ilíaca lateral. 2: Tubérculo sacro.


Por la imposibilidad de tratamiento, debido al grado de lesión ósea y vascular de la pelvis, y por la falta de respuesta a la analgesia, se indicó la eutanasia de la potranca. Esta se realizó con clorhidrato de lidocaína intratecal en una dosis de 4 mg/kg previa sedación (Aleman et al., 2015).
Examen post mortem y radiográfico
Tras la eutanasia se efectuó la necropsia completa. Se realizaron radiografías digitales de la pelvis (Sound Eklin digital system, Next II) luego de remover los músculos, debido al marcado edema y aumento de volumen muscular que dificultaban la visualización. Esta técnica permitió reconstruir y seguir las líneas de fractura sobre la pelvis (figuras 5).

Después de la radiografía se disecó con cuidado la pelvis para examinar las superficies óseas. Se desarticularon y examinaron macroscópicamente las articulaciones sacroilíacas, los acetábulos y la sínfisis pélvica; también se examinaron el sacro, el hueso coxal y la columna vertebral lumbar. El ilion, incluidos el tubérculo sacro y el tubérculo coxal, se seccionó de forma transversal con una sierra de cinta en láminas de aproximadamente 1 a 2 cm de espesor, mientras que la sínfisis pélvica, el pubis y el isquion se cortaron en el plano sagital.
Todos los conjuntos de secciones seriadas fueron examinados, fotografiados con cuidado y se registró la ubicación anatómica, el tipo y el tamaño de las lesiones.
Macroscópicamente se observó una fractura ilíaca completa, desplazada y oblicua de forma bilateral; ambas se originaban en el borde caudal de la diáfisis ilíaca proximal, a nivel de la articulación sacroilíaca. La fractura izquierda atravesaba en dirección lateral y la derecha en dirección cráneo-lateral, alcanzando la tuberosidad coxal. La fractura izquierda tenía origen en un pequeño fragmento óseo y presentaba un defecto único, lineal, con bordes bien definidos. La línea de fractura derecha era más larga, irregular y de bordes redondeados (figuras 6), acompañada de una proliferación perióstica extensa, indicativa de fractura por fatiga o estrés.

Examen histopatológico
Para el examen microscópico, las secciones seleccionadas y las lesiones macroscópicas se fijaron en una solución acuosa de formaldehído tamponado al 4 %, se descalcificaron en ácido fórmico al 10 %, se deshidrataron en alcohol graduado, se incluyeron en parafina, se cortaron en secciones de aproximadamente 6 µm de espesor y se tiñeron con hematoxilina y eosina de Harris.
El examen microscópico de las zonas de fractura por fatiga derecha reveló una arquitectura trabecular irregular, indicativa de intensa remodelación ósea en múltiples planos y direcciones. Se observaron numerosas microfisuras, tejido óseo inmaduro con líneas de reversión basófilas irregulares y lagunas de osteocitos vacías, junto con múltiples cavidades de reabsorción que contenían grandes osteoclastos (figura 7). No se encontraron lesiones de remodelación ósea en la fractura ilíaca izquierda. La sínfisis púbica era normal.

Discusión
En la literatura se describen sitios de predilección para las fracturas por estrés, así como huesos más susceptibles a este padecimiento (Rocca & Dutra, 2018; Stover & Murray, 2008). Haussler et al. (1998) describieron un sitio típico de fractura por estrés con proliferación perióstica focal en la cara caudomedial del ala ilíaca y su relación con la articulación sacroilíaca. En el presente caso los sitios de predilección de la pelvis que dieron lugar a la fractura catastróficas se identificaron en la diáfisis ilíaca proximal. La prevalencia de fracturas pélvicas y la gravedad de los casos difieren entre autores (Haussler et al., 1998; Johnson et al., 1994; Pilsworth et al., 1994), lo que subraya la necesidad de continuar investigando esta condición con el objetivo de prevenirla, predecir su aparición y estimar con mayor precisión el pronóstico de los pacientes.
En un estudio sobre diez caballos PSC (Pilsworth et al., 1994) se demostró que la mayoría de los animales con fracturas del ala ilíaca podían volver a correr. Sin embargo, las fracturas bilaterales en un caballo fueron fatales. Las lesiones por estrés óseo son difíciles de diagnosticar clínicamente, incluso en humanos, ya que los síntomas clínicos varían según múltiples situaciones fisiopatológicas y el estadio de la lesión (Bennell et al., 1996). Se requieren estudios de imagen para asegurar un diagnóstico temprano y exacto; esto es clave para garantizar que las lesiones por estrés óseo no resulten en fracturas catastróficas (Kiuru et al., 2004; Shepherd & Pilsworth, 1994).
En el caso presentado, el diagnóstico clínico y ultrasonográfico fue relativamente evidente debido a la gravedad de la lesión y la instauración aguda del cuadro. No obstante, es importante destacar que no siempre es sencillo reconocer las fracturas pélvicas (Almanza & Whitcomb, 2003; Bergman et al., 2013) y que sin experiencia es posible confundir artefactos ecográficos, como sombras acústicas, con alteraciones del contorno óseo (Shepherd & Pilsworth, 1994). La radiografía presenta múltiples limitaciones para el diagnóstico de lesiones pélvicas, sobre todo por el tamaño y la superposición de las estructuras involucradas (Worden et al., 2013). En el presente caso, la radiografía fue útil para reconstruir la dirección de las líneas de fractura y comprender mejor la patogénesis de la lesión.
Las fracturas por estrés pueden diagnosticarse mediante ecografía desde fases tempranas, (Bianchi, 2020; Fukushima et al., 2018; Moiroud et al., 2019). Este caso pone de manifiesto la ausencia de manifestaciones clínicas previas que hubieran llevado a sospechar de antemano una fractura por estrés pélvica. Los episodios de hemorragia pulmonar en esta potranca podrían haber eclipsado otros problemas locomotores, ya sea por las medicaciones utilizadas o por los períodos de reposo indicados por la hemorragia. En este contexto, hubo una falta de diagnóstico ecográfico en etapas iniciales de la lesión ósea en la hemipelvis derecha.
Mejorar el reconocimiento o la sospecha clínica en estadios tempranos es probablemente uno de los puntos clave para avanzar en el diagnóstico precoz por imagen. Antes de que se produzca una fractura completa, el estrés óseo puede detectarse mediante gammagrafía, radiografía y ecografía (O’Sullivan & Lumsden, 2000; Puccetti et al., 2022). Identificar estos sitios de predilección a tiempo y detectar lesiones leves puede evitar la progresión hacia lesiones más graves (Sarrafian et al., 2012; Stover, 2013). En Uruguay no existe la posibilidad de realizar gammagrafía ósea como método rutinario de diagnóstico precoz. Sin embargo, la sensibilización del veterinario respecto a la presentación clínica y los factores de riesgo de las fracturas por estrés pélvicas probablemente mejoren el diagnóstico ecográfico en estadios iniciales y permitan disminuir la ocurrencia de casos catastróficos como el aquí descrito.
Conclusión
Este informe compara los hallazgos in vivo y post mortem de una fractura completa bilateral del ilion que se extendía hasta la articulación sacroilíaca en una yegua PSC. La fractura aguda se produjo sobre un cuadro previo de fractura por estrés crónica del ilion contralateral, que en teoría podría haberse diagnosticado con anterioridad. Las lesiones fueron confirmadas mediante estudios radiológicos y patología post mortem. La histopatología confirmó la presencia de fractura por estrés y la propagación de una grieta a partir de microdaños óseos preexistentes.
Este caso resalta la importancia de incluir las fracturas por estrés de la pelvis dentro de los diagnósticos diferenciales de claudicación aguda y dolor pélvico en caballos de carrera jóvenes, y subraya el rol de la ecografía como herramienta accesible y sensible para su detección precoz.
Referencias
Aleman, M., Davis, E., Williams, D. C., Madigan, J. E., Smith, F., & Guedes, A. (2015). Electrophysiologic study of a method of euthanasia using intrathecal lidocaine hydrochloride administered during intravenous anesthesia in horses. Journal of Veterinary Internal Medicine, 29(6), 1676-1682. https://doi.org/10.1111/JVIM.13607
Almanza, A., & Whitcomb, M. B. (2003). Ultrasonographic diagnosis of pelvic fractures in 28 horses. En Proceedings of the Annual Convention of the American Association of Equine Practitioners (Vol. 49, pp. 50-54). AAEP. https://www.ivis.org/library/aaep/aaep-annual-convention-new-orleans-2003/ultrasonographic-diagnosis-of-pelvic-fractures-28-horses
Anthenill, L. A., Stover, S. M., Gardner, I. A., & Hill, A. E. (2007). Risk factors for proximal sesamoid bone associated with exercise history and horseshoe characteristics in Thoroughbred racehorses. American Journal of Veterinary Research, 68(7), 760-771. https://doi.org/10.2460/ajvr.68.7.760
Bennell, K. L., Malcolm, S. A., Thomas, S. A., Reid, S. J., Brukner, P. D., Ebeling, P. R., & Wark, J. D. (1996). Risk factors for stress fractures in track and field athletes: a twelve-month prospective study. The American Journal of Sports Medicine, 24(6), 810-818. https://doi.org/10.1177/036354659602400617
Bergman, E. H., Puchalski, S. M., & Denoix, J. M. (2013). How to perform a transrectal ultrasound examination of the lumbosacral and sacroiliac joints. En Proceedings of the Annual Convention of the American Association of Equine Practitioners (Vol. 59, pp. 229-237). AAEP. https://www.ivis.org/library/aaep/aaep-annual-convention-nashville-2013/how-to-perform-a-transrectal-ultrasound-examination-of-lumbosacral-and-sacroiliac-joints
Bianchi, S. (2020). Ultrasound and bone: A pictorial review. Journal of Ultrasound, 23(3), 227-257. https://doi.org/10.1007/s40477-020-00477-4
Bimson, N. H., Morrice-West, A. V., Wong, A. S. M., Hitchens, P. L., Rocca, M. R., & Whitton, R. C. (2022). Catastrophic musculoskeletal injuries in Thoroughbred racehorses in Uruguay, 2011-2017. Journal of Equine Veterinary Science, 117, 104074. https://doi.org/10.1016/j.jevs.2022.104074
Carrier, T. K., Stover, S. M., Gardner, I. A., Johnson, B. J., Read, D. H., & Ardans, A. A. (1998). Association between long periods without high-speed workouts and risk of complete humeral or pelvic fracture in Thoroughbred racehorses: 54 cases (1991-1994). Journal of the American Veterinary Medical Association, 212(10), 1582-1587. https://avmajournals.avma.org/view/journals/javma/212/10/javma.1998.212.10.1582.xml?tab_body=pdf
Fukushima, Y., Ray, J., Kraus, E., Syrop, I. P., & Fredericson, M. (2018). A review and proposed rationale for the use of ultrasonography as a diagnostic modality in the identification of bone stress injuries. Journal of Ultrasound in Medicine, 37(10), 2297-2307. https://doi.org/10.1002/jum.14588
Goodrich, L. R., Werpy, N. M., & Armentrout, A. (2006). How to ultrasound the normal pelvis for aiding diagnosis of pelvic fractures using rectal and transcutaneous ultrasound examination. En Proceedings of the Annual Convention of the American Association of Equine Practitioners (Vol. 52, pp. 609-611). AAEP. https://www.ivis.org/library/aaep/aaep-annual-convention-san-antonio-2006/how-to-ultrasound-normal-pelvis-for-aiding-diagnosis-of-pelvic-fractures-using-rectal-and
Haussler, K. K., Stover, S. M., & Wheat, J. D. (1998). Stress fractures of the vertebral lamina and pelvis in Thoroughbred racehorses. Equine Veterinary Journal, 30(5), 374-381. https://doi.org/10.1111/j.2042-3306.1998.tb04504.x
Johnson, B. J., Stover, S. M., Daft, B. M., Kinde, H., Read, D. H., Barr, B. C., Anderson, M., Moore, J., Woods, L., Stoltz, J., & Blanchard, P. (1994). Causes of death in racehorses over a 2-year period. Equine Veterinary Journal, 26(4), 327-330. https://doi.org/10.1111/j.2042-3306.1994.tb04395.x
Kiuru, M. J., Pihlajamäki, H. K., & Ahovuo, J. A. (2004). Bone stress injuries. Acta Radiologica, 45(3), 317-326. https://doi.org/10.1080/02841850410004
Martin, R. B., Burr, D. B., Sharkey, N. A., & Fyhrie, D. P. (2015). Fatigue and fracture resistance of bone. En R. B. Martin, D. B. Burr, N. A. Sharkey & D. P. Fyhrie (Eds.), Skeletal tissue mechanics (pp. 423-482). Springer. https://doi.org/10.1007/978-1-4939-3002-9_8
Moiroud, C. H., Coudry, V., & Denoix, J. M. (2019). Distribution of pelvic fractures in racing and non-racing sport horses: A retrospective study of 86 cases examined in a referral centre. Veterinary and Comparative Orthopaedics and Traumatology, 32(3), 215-221. https://doi.org/10.1055/s-0039-1683403
O’Sullivan, C. B., & Lumsden, J. M. (2000). Stress fractures of the tibia and humerus in 99 Thoroughbred racehorses. En Proceedings of the Annual Convention of the American Association of Equine Practitioners (Vol. 46, pp. 378-379). AAEP.
Pilsworth, R. C., Shepherd, M. C., Herinckx, B. M. B., & Holmes, M. A. (1994). Fracture of the wing of the ilium, adjacent to the sacroiliac joint, in Thoroughbred racehorses. Equine Veterinary Journal, 26(2), 94-99. https://doi.org/10.1111/j.2042-3306.1994.tb04343.x
Puccetti, M., Beccati, F., & Denoix, J. M. (2022). Bone stress injuries and fatigue fractures of the pelvis in endurance horses. Equine Veterinary Journal, 54(6), 1064-1075. https://doi.org/10.1111/evj.13536
Rocca, R., & Dutra, F. (2018). Programa de estudio de fracturas catastróficas en el Hipódromo Nacional de Maroñas, Uruguay. Casuística y presentación de casos (2012-2018). 11.a Reunión Argentina de Patología Veterinaria, 12.º Seminario de la Fundación C.L. Davis - S.W. Thompson, La Plata, Argentina. https://www.researchgate.net/publication/326988226_FRACTURAS_CATASTROFICAS_EN_EL_HIPODROMO_NACIONAL_DE_MARONAS_URUGUAY_CASUISTICA_Y_PRESENTACION_DE_CASOS_2012-2018?channel=doi&linkId=5b70f3b9a6fdcc87df733a72&showFulltext=true
Rosanowski, S. M., Chang, Y. M., Stirk, A. J., & Verheyen, K. L. P. (2017). Descriptive epidemiology of veterinary events in flat racing Thoroughbreds in Great Britain (2000 to 2013). Equine Veterinary Journal, 49(3), 275-281. https://doi.org/10.1111/evj.12592
Ross, M. W., & Dyson, S. J. (2011). Diagnosis and management of lameness in the horse (2nd ed.). Elsevier Saunders. https://www.sciencedirect.com/book/edited-volume/9781416060697/diagnosis-and-management-of-lameness-in-the-horse
Samol, M. A., Uzal, F. A., Hill, A. E., Arthur, R. M., & Stover, S. M. (2021). Characteristics of complete tibial fractures in California racehorses. Equine Veterinary Journal, 53(5), 911-922. https://doi.org/10.1111/evj.13375
Sarrafian, T. L., Case, J. T., Kinde, H., Daft, B. M., Read, D. H., Moore, J. D., Uzal, F. A., & Stover, S. M. (2012). Fatal musculoskeletal injuries of Quarter Horse racehorses: 314 cases (1990–2007). Journal of the American Veterinary Medical Association, 241(7), 935-942. https://doi.org/10.2460/javma.241.7.935
Shepherd, M. C., & Pilsworth, R. C. (1994). The use of ultrasound in the diagnosis of pelvic fractures. Equine Veterinary Education, 6(4), 223-227.
Stover, S. M. (2013). Diagnostic workup of upper-limb stress fractures and proximal sesamoid bone stress remodeling. En Proceedings of the Annual Convention of the American Association of Equine Practitioners (Vol. 59, pp. 427-435). AAEP. https://www.ivis.org/library/aaep/aaep-annual-convention-nashville-2013/diagnostic-workup-of-upper-limb-stress-fractures-and-proximal-sesamoid-bone-stress-remodeling
Stover, S. M., Johnson, B. J., Daft, B. M., Read, D. H., Anderson, M., Barr, B. C., Kinde, H., Moore, J., Stoltz, J., Ardans, A. A., & Pool, R. R. (1992). An association between complete and incomplete stress fractures of the humerus in racehorses. Equine Veterinary Journal, 24(4), 260-263. https://doi.org/10.1111/j.2042-3306.1992.tb02831.x
Stover, S. M., & Murray, A. (2008). The California postmortem program: Leading the way. Veterinary Clinics of North America: Equine Practice, 24(1), 21-36. https://doi.org/10.1016/j.cveq.2007.11.009
Worden, P., Peloso, J., & Legg, R. (2013). How to radiograph and diagnose fractures of the tibia in the field. En Proceedings of the Annual Convention of the American Association of Equine Practitioners (Vol. 59, pp. 403-409). AAEP. https://www.ivis.org/library/aaep/aaep-annual-convention-nashville-2013/how-to-radiograph-and-diagnose-fractures-of-tibia-field
Nota de contribución
Betina Morales ha contribuido en 1, 4, 5 y 6. Jean-Marie Denoix y Ana Meikle en 2 y 6. Fernando Dutra en 2, 3 y 6. Rita Rocca, Victoria Hernández e Ignacio Bonino en 3.
Todos los autores aprobaron la versión final del manuscrito.
Nota del editor
El editor José Manuel Verdes aprobó este artículo.